Home

T-1218

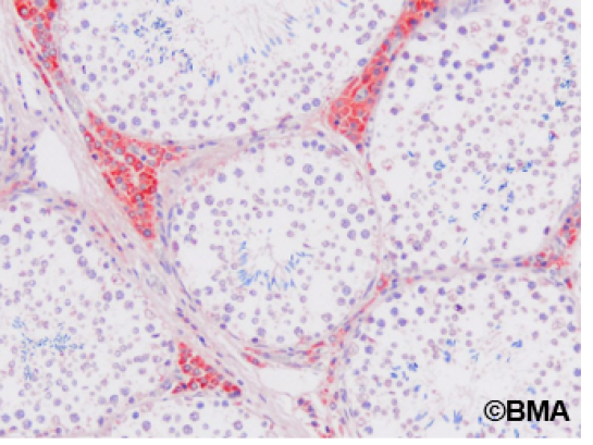
GPR77 (G-Protein Coupled Receptor 77, C5a Anaphylatoxin Chemotactic Receptor C5L2, belongs to the G-Protein Coupled Receptor (GPCR) family 1).

T-1325

α-1-antichymotrypsin (ACT).

T-1219

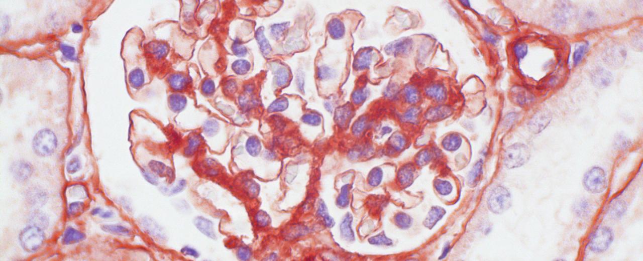
CCR2B, (C-C Chemokine Receptor Type 2, Monocyte Chemoattractant protein 1 Receptor, CD192, belongs to the G-Protein Coupled Receptor (GPCR) family 1).

Monoklonale Anti-Schwein-Antikörper für veterinärmedizinische Gewebeproben

Wir entwickeln auch Antikörper für den Einsatz mit Schweinegewebe, angesichts der Bedeutung dieser Spezies in Tiermodellen und bei Krankheiten, die die menschliche Gesundheit betreffen. Unser Ziel ist es, ein umfassendes Sortiment an Antikörpern anzubieten, um Sie bei der Auswertung Ihrer veterinärmedizinischen Gewebeproben zu unterstützen.

T-3504

T-3504

Anti Ephitelial Basement, monoclonal antibody. The PB1 clone recognises cells of the basal cell epithelial layer in various porcine and human tissues.

T-3523

T-3523

Anti Hemoglobin beta, monoclonal antibody. The PLA114 clone is specifically directed against the porcine hemoglobin beta subunit.

T-3520

T-3520

Anti Bronchial Basement Cells, monoclonal antibody. PLB42 is a particularly interesting marker of bronchial basement cells of the lung epithelium. 

Über uns

Über uns

Bei BMA steht Teamarbeit im Mittelpunkt unseres Handelns und sorgt für Zusammenarbeit und Innovation.

Erfahren Sie mehr über unser Unternehmen.