T-3504
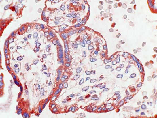
Anti Ephitelial Basement, monoclonal antibody. The PB1 clone recognises cells of the basal cell epithelial layer in various porcine and human tissues.
Monoclonal Antibodies Porcine TissueWe also develop antibodies for use with porcine tissue, given the importance of this species in animal models and diseases affecting human health. Our goal is to offer a comprehensive range of antibodies to help you to evaluate your veterinary tissue samples.
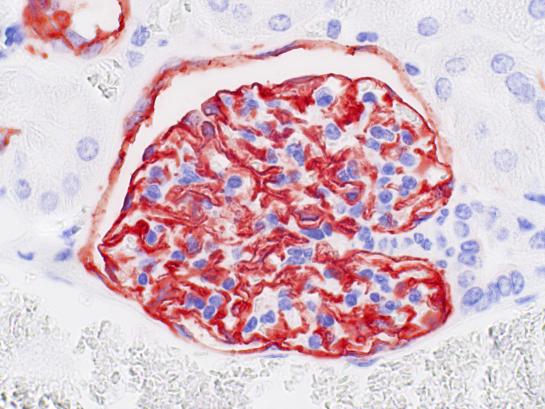
Anti Ephitelial Basement, monoclonal antibody. The PB1 clone recognises cells of the basal cell epithelial layer in various porcine and human tissues.
Monoclonal Antibodies Porcine TissueAnti Hemoglobin beta, monoclonal antibody. The PLA114 clone is specifically directed against the porcine hemoglobin beta subunit.
Monoclonal Antibodies Porcine TissueAnti Bronchial Basement Cells, monoclonal antibody. PLB42 is a particularly interesting marker of bronchial basement cells of the lung epithelium.
Monoclonal Antibodies Porcine Tissue